Emergency Root Canal Treatment in Kothrud: When You Need It
A severe toothache at midnight. Throbbing pain that won't quit. Sudden swelling around your jaw....
A severe toothache at midnight. Throbbing pain that won't quit. Sudden swelling around your jaw....
Wisdom teeth are the last set of molars that usually emerge in your late teens...
Oral health is closely connected to your overall nutrition. While brushing and flossing are essential,...
If you've been told you have gum recession and your dentist mentioned pinhole gum surgery,...
A loose tooth can be alarming, especially for adults. While it’s normal for children to...
Did you know that gum disease is one of the most common yet most overlooked...
Missing teeth can affect your smile, chewing ability, and overall oral health. Dental implants are...
Cosmetic dentistry has evolved significantly over the years, offering advanced solutions for improving smiles with...
Tooth decay is one of the most common dental problems, but when left untreated, it...
Maintaining good oral hygiene is essential for a healthy smile, but brushing and flossing alone...
A bright and confident smile can leave a lasting impression. However, chipped teeth, discoloration, gaps,...
Completing orthodontic treatment is a big milestone. After months or even years of wearing braces...
Dental implants are one of the most advanced and reliable solutions for replacing missing teeth....
Dental crowns are one of the most common restorative dental treatments used to repair damaged,...
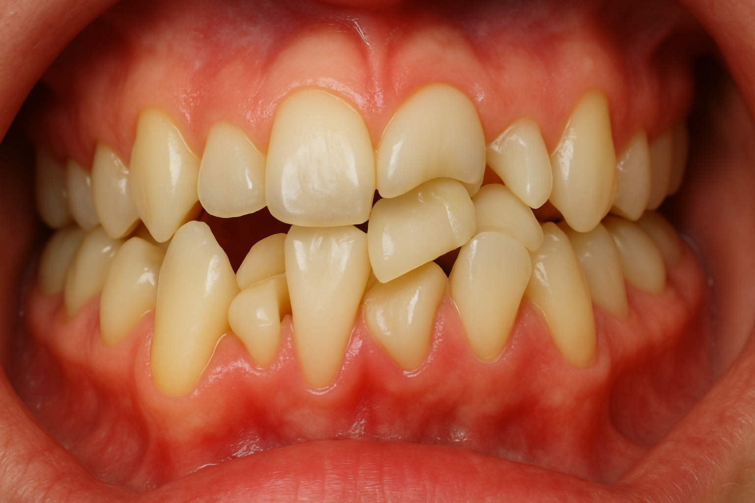
A straight smile is not just about appearance—it plays a major role in oral health,...
Root canal treatment is one of the most effective dental procedures for saving infected or...
Pain in the lower face can be confusing. Is it coming from your teeth or...
Choosing between an electric toothbrush and a manual toothbrush is a common question among patients...
Missing teeth can affect more than just your smile—they impact chewing ability, speech, facial structure,...
Tooth sensitivity is a common dental problem that can interfere with daily life, making it...
Searching for a dental clinic near you can feel overwhelming, especially when every clinic claims...
A healthy smile starts with proper dental care, and knowing where to go for treatments...
Recovering from a root canal requires more than just rest—it involves proper nutrition to ensure...
Starting Invisalign is an exciting step toward a confident, healthy smile. While clear aligners are...
Healthy teeth are not only essential for a confident smile but also for overall oral...
Maintaining good dental hygiene is not just about having a bright smile—it plays a vital...
Personalized dental care is no longer a luxury—it is a necessity for long-term oral health....
Oral health plays a vital role in your overall well-being, confidence, and quality of life....
Root Canal Treatment has become one of the most essential dental procedures to save natural...
A confident smile can leave a lasting impression, and dental implants play a crucial role...
Regular dental checkups are one of the most effective ways to protect your teeth and...
A radiant smile is one of your most valuable assets—it enhances confidence and leaves a...
Oral infections can appear when you least expect them. One day you’re enjoying your meal,...
Your smile says a lot about you, but what happens when that smile is clouded...
Imagine walking into a Dental Clinic in Kothrud, feeling anxious about the prospect of a...
Selecting the right orthodontist for braces can feel overwhelming with so many options available in...
Wisdom tooth removal is a common dental procedure that many individuals face during their late...
Tooth pain can be frustrating, especially when it hits after enjoying your favorite tangy snack....
Dental implants have revolutionized tooth replacement, offering a durable and natural-looking solution for missing teeth....
Dental implants have transformed restorative dentistry by offering a permanent solution for missing teeth. They...
When it comes to achieving that perfect smile, choosing the right cosmetic dentist can make...
Do you wince at the thought of biting into a cold ice cream or sipping...
Oral health is a vital aspect of overall well-being, and choosing the right dentist can...
Kothrud, a vibrant suburb in Pune, is not just known for its serene neighborhoods and...
When it comes to maintaining your dental health, making the right treatment choice is essential....
Orthodontic treatment is no longer just for teenagers. Adults in Kothrud are increasingly seeking ways...
A toothache can quickly ruin your day—whether it’s a dull, nagging sensation or sharp pain...
Orthodontic treatment for teenagers has come a long way in recent years. Gone are the...
Gum disease, or periodontal disease, is a common yet often misunderstood oral health condition that...
Do you wince at the thought of a cold drink or feel discomfort when biting...
Why Oral Hygiene Matters Good oral hygiene is more than a daily habit—it’s a gateway...
Root canal treatments often carry a cloud of anxiety and fear for many. The thought...
Your smile is one of your most valuable assets. It's often the first thing people...
Losing a tooth affects more than just your appearance—it can impact how you eat, speak,...
When it comes to dental procedures, many people experience anxiety and uncertainty. Root canal treatments...
A radiant smile is your greatest asset, but maintaining it requires winning the daily battle...
Ensuring good oral health from an early age lays the foundation for a lifetime of...
Welcome to Tooth and Co Dental Clinic, where your dental health meets exceptional care in...
In our fast-paced lives, oral health often gets overlooked. Many people skip their dental appointments,...